خوردن به اندازه شکلات تلخ می تواند خواص شیرینی برای ما به همراه داشته باشد.
پرخوری عصبی یا «بولیمیا» یک بیماری است که فرد در فاصله کمی، حجم زیادی از غذا را مصرف می کند، اما در ادامه برای مقابله…
آدامس یکی از تنقلات محبوب سنین مختلف است و به میزان زیادی نیز مورد استفاده قرار می گیرد. محققان کشور در یک تلاش پژوهشی…
مصرف برخی از دارو های طی چندین مدت میتواند باعث پوسیدگی دندان ها و همچنین خشکی دهان شود که این اتفاق بسیار ناخوشایند ا…
یک متخصص ارتودنسی و ناهنجاریهای فک و صورت در شهرکرد گفت: ارتودنسی موجب پوسیدگی دندانها نمیشود، عنوان کرد:…
در ماه رمضان بسیاری از افراد از بوی بد دهان رنج میبرند که در این گزارش برای رهایی از این مشکل راهکارهایی پیشنهاد شده ا…
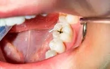
پوسیدگی دندان مشکلی است که در یک لحظه و یک روز انجام نمی شود، بلکه مدت زمانی لازم است تا مینا دندان حل شده و بافت آن…
یک دندانپزشک گفت: شایعترین بیماری دهان و دندان پوسیدگی دندانی است که علت باکتریال دارد و اصلیترین عامل پیشگیری آن،…
رعایت بهداشت دهان و دندان تنها به جلوگیری از پوسیدگی دندان ها و دو بار مسواک زدن در روز محدود نمی شود. این مسأله…
آب نمک ترکیبی از دو ماده در دسترس است که با هم و به صورت تنها خواص درمانی بسیاری دارند.