وقتی موضوع نخ دندان کشیدن مطرح است، اغلب افراد یا آن را انجام نمیدهند یا به درستی آن را انجام نمیدهند.
اگر به دلیل دیگری برای مسواک زدن و نخ دندان کشیدن نیاز دارید، این دلیل را به خاطر داشته باشید: تحقیقات نشان میدهد که…
استرس و اضطراب نه تنها سلامت روان را تحت تاثیر قرار می دهند بلکه با افزایش ریسک بیماری های لثه، پوسیدگی دندان و…
ایجاد جرم دندانی، مشکلی رایج ناشی از عدم رعایت صحیح بهداشت دهان و دندان است. دکتر مصطفی مژدهی فرد، دندانپزشک، بر اهمیت…
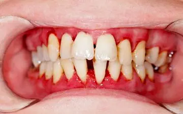
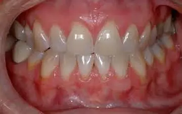
اجتناب از نوشیدنی های شیرین و افزایش مصرف ویتامین ث، به درمان تورم و خونریزی لثه ها کمک می کند.
یک بررسی کوچک جدید نشان میدهد که بیماری لثه ممکن است عملکرد مغز را مختل کند و به طور بالقوه خطر ابتلا به بیماری…
یک مطالعه جدید هشدار میدهد که افراد مبتلا به دیابت بیشتر مستعد ابتلا به بیماریهای لثه هستند، زیرا این بیماری مزمن به…
مطالعهای جدید نشان میدهد که دیابت میتواند به طور قابل توجهی خطر ابتلا به بیماریهای لثه را افزایش دهد، به ویژه در…
اخیراً متوجه شدهاید دندانهایتان بلندتر به نظر میرسند؟ ممکن است لثههایتان عقب رفته باشند که میتواند منجر به حساسیت…
اخیراً متوجه شدهاید دندانهایتان بلندتر به نظر میرسند؟ ممکن است لثههایتان عقب رفته باشند که میتواند منجر به حساسیت…