سرپرست مرکز بهداشت شهرستان کاشان گفت: بر اساس آمار موجود، در ششماهه نخست سال جاری، ۱۷ بیمار جدید مبتلا به بیماری سل…
بوی بدن چیزی فراتر از یک حس ناخوشایند است و میتواند سرنخهای مهمی درباره وضعیت سلامت فرد آشکار کند.
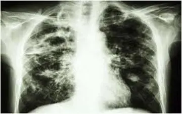
بیماری سل یکی از بیماریهای عفونی و جدی است که اگر به موقع تشخیص داده نشود و درمان نشود، میتواند به عواقب وخیم و حتی…
بیماری سل، یک بیماری عفونی جدی است که در صورت عدم درمان مناسب، می تواند منجر به عوارض خطرناکی مانند نارسایی تنفسی،…
معاون بهداشت دانشگاه علوم پزشکی زاهدان گفت: بیماری سل خوشبختانه قابل درمان و تشخیص و درمان آن در مراکز خدمات جامع…
کارشناس مسئول بیماریهای واگیر مرکز بهداشت شهرستان زنجان گفت: سرفه پایدار همراه با خلط، تنگینفس، درد قفسه سینه یا پشت…
برخی پزشکان انگلیسی میگویند، سرفه و تب ممکن است علائم بیماری دیگری در بدن فرد باشد و نشانه کرونا نباشد.
مطالعات محققان دانشگاه لندن نشان می دهد ویتامین D قادر به پاکسازی باکتری های سل از ریه است و می تواند بدون هیچ عارضه…
میزان بروز سل در ایران ۱۰ برابر کمتر از آمار جهانی است و از هر ۱۰۰ هزار نفر، ۱۴ مورد در معرض ابتلا به این بیماری قرار…
معاون آموزشی مرکز تحقیقات سل و بیماریهای ریوی گفت: مصرف داروهای بیولوژیک بویژه در برخی بیماری ها مانند روماتوئید…