امروزه، افراد زیادی را می بینیم که خواهان داشتن دندان هایی زیباتر هستند و برای عملی کردن این خواسته، به دندان پزشک…
شما باید دندانهایتان را با یک خمیردندان خوب روزی دو بار مسواک بزنید. از یک مسواک نرم استفاده کنید که برسی نرم و صاف…
شما باید دندانهایتان را با یک خمیردندان خوب روزی دو بار مسواک بزنید. از یک مسواک نرم استفاده کنید که برسی نرم و صاف…
شما باید دندانهایتان را با یک خمیردندان خوب روزی دو بار مسواک بزنید. از یک مسواک نرم استفاده کنید که برسی نرم و صاف…
عضو انجمن متخصصین دندانپزشکی ترمیمی و زیبایی ایران، با اشاره به مصرف آجیل و شیرینی در ایام نوروز، توصیه هایی در ارتباط…
همانطور که در همه قسمتهای بدن تاثیر میگذارد بر حفره دهان هم اثر دارد. همانقدر که یک برنامه غذایی مناسب میتواند…
رئیس انجمن متخصصین دندانپزشکی ترمیمی ایران، پنچ توصیه حیاتی برای جلوگیری از بیماریهای مخفی دندانی را تشریح کرد.
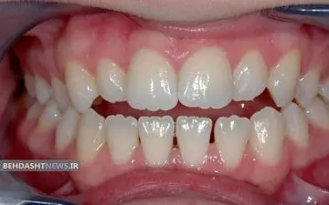
وجود این حالت روی دندانهای پیشین کاملا طبیعی بوده و هیچ ضرری برای فرد نخواهد داشت. هرچند که در حالاتی چون جلوتر بودن…
هیچچیز شما را مانند یک لبخند زیبا، مجذوب خود نمیکند. بهداشت دهان و دندان یک امر ضروری است؛ پس مراقب مواد غذایی که…
یک متخصص دندانپزشک با اشاره به چگونگی و شرایط پیوند لثه به ویژگی مسواک خوب پرداخت و گفت: برخی از افراد به دلیل بی…