مطالعات نشان میدهد که این ویتامین از بروز سرماخوردگی پیشگیری نمیکند، اما میتواند شدت علائم و مدت بیماری را کاهش…
اجتناب از نوشیدنی های شیرین و افزایش مصرف ویتامین ث، به درمان تورم و خونریزی لثه ها کمک می کند.
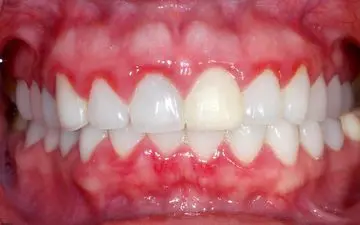
بسیاری از افراد در زمان مسواک زدن یا استفاده از نخ دندان متوجه خونریزی در لثههای خود میشوند، اما در بیشتر موارد آن…
خونریزی لثه در زمان مسواک زدن ممکن است یک اتفاق رایج باشد، اما طبیعی نیست. آیا اگر دستهایتان را میشویید و خون از زیر…
خونریزی لثه در زمان مسواک زدن ممکن است یک اتفاق رایج باشد، اما طبیعی نیست. آیا اگر دستهایتان را میشویید و خون از زیر…
لثه ها نه تنها درزمینه سلامت دندان نقش موثری ایفا می کنند بلکه سلامت عمومی بدن را نیز تحت تاثیر قرار می دهند.
برای حفظ سلامت بدن مصرف مواد غذایی مغذی و سرشار از ویتامین حائز اهمیت است. از این رو افرادی که به دنبال کاهش وزن هستند…
برخی داروها در خونریزی لثه و مشکلات دهان و دندان تاثیر گذار هستند.
خونریزی از لثه علتهای متفاوتی دارد که باید این خونریزیها را جدی گرفت.
سطح بالای قند خون، میتواند به رگهای خونی به ویژه رگهای زیرپوستی آسیب برساند. این آسیب میتواند منجر به بروز لکههای…