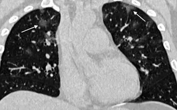
اولین اقدام برای مقابله با ویروس نوپدیدی که امروزه در سراسر جهان شایع شده، تشخیص بوده، لذا با توجه به دقت سی تی اسکن،…
مدیرعامل بهشت زهرا (س) ضمن تأکید بر اینکه در زمان تحویل سال در گلزار شهدا هیچ برنامهای برگزار نخواهد شد، گفت: بر اساس…
معاون وزیر ورزش گفت: هیات مدیره پرسپولیس با مدیرعامل جلسه داشته و ما برای جزئیات ورود نمی کنیم.
کمیته ملی پارالمپیک آسیا درگذشت سیامند رحمان را تسلیت گفت.
رئیس هیئت جانبازان و معلولان آذربایجانغربی گفت: مراسم تدفین سیامند رحمان امشب در اشنویه انجام میشود.
در بامداد امروز (اول اسفند) سهمیه بنزین این ماه در کارتهای سوخت شخصی شارژ شد.
بررسی پیشنهادات لایحه پارک حاشیهای در دستور جلسه امروز شورای اسلامی شهر تهران مورد بررسی قرار گرفت.
شعبه ۲۶ دادگاه انقلاب اسلامی تهران به ریاست قاضی افشاری، یکی از متهمان اغتشاشات آبان ماه امسال را به کتابخوانی و ارائه…
مراسم استقبال و خاکسپاری پیکر دانشجوی شهید امیرحسین قربانی بهابادی از شهدای سقوط هواپیما با حضور مردم و مسئولان در…
امامجمعه شهر تفت، فرماندار و فرمانده ناحیه مقاومت بسیج شهرستان تفت با صدور پیامی از مردم شهیدپرور شهرستان تفت برای…