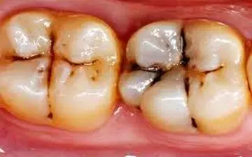
پوسیدگی دندانها یکی از شایع ترین بیماری های عفونی است که در جهان وجود دارد. پوسیدگی دندان در دهان شما یکی از عفونت های…
طرح مباحث مربوط به یک بیماری عفونی به نام HPV در برنامه ماه عسل، روشهای ابتلا، انتقال و همچنین درمان این بیماری،…
آلن هیرش, متخصص مغز و اعصاب و محقق بوها در شیکاگو دریافت که بیماری های خاصی مانند سرطان , مالتیپل اسکلروزیس و بیماری…
وبا، یک بیماری اسهالی است که بخصوص در فواصل گرم سال شایع شده و در پی آن مرگ و میر زیادی را به دنبال دارد. در بسیاری از…
مصرف غیربهداشتی لنزها به گفته پزشکان، سبب بروز بیماریهای عفونی مانند آبسه قرنیه و حتی بیماریهای ویروسی خطرناکی مانند…