نقرس یکی از بیماری های التهابی است. علت این بیماری افزایش غیرطبیعی میزان اسید اوریک است. در نتیجه اوراتهای سدیم شکل…
متخصصان انگلیسی میگویند افراد میتوانند با داشتن یک رژیم غذایی مناسب مانع از ابتلا به بیماری شوند.
در شرایط سردی هوا امکان ابتلا به بیماریهای مختلف وجود دارد و یکی از مواد غذایی مناسب برای تقویت سیستم ایمنی بدن، عناب…
یکی از روش های پاکسازی بدن حجامت است که افرادی که آلرژی دارند می توانند در ابتدای فصل بهار حجامت کنند. اما برای انجام…
یک متخصص طب سنتی گفت: مصرف غذاهای سرد مثل ماست و ترشی در افراد سرد مزاج موجب ابتلا به بیماریهایی نظیر درد استخوانها…
بینایی با افزایش سن کاهش مییابد، اما عادات غذایی نیز میتواند این روند را تسریع کند.
موارد ابتلا به کووید-۱۹ در ایالاتمتحده به سطوحی رسیده که یادآور اوج تجربه زمستان گذشته است و باعث نگرانی در مورد ظهور…
مصرف روغنهای جامد و نیمه جامد، باعث رسوب اسیدهای چرب اشباع در رگها، تنگی و انسداد عروق قلب و سکته قلبی میشود.…
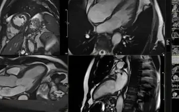
ابزار جدیدی که با هوش مصنوعی کار میکند، میتواند به شما بگوید قلب شما عمر کرده است.
نارنگی منبعی غنی از پتاسیم است و مقدار کمی سدیم دارد. این تناسب به رگهای خونی کمک میکند که آرام شوند و فشار خون…